Signs Of Bone Cancer In Pelvis / Bone Tumors Pelvic Dr Julius Liptak / Bone cancer is a malignant (cancerous) tumor of the bone that destroys normal bone tissue.
Dapatkan link
Facebook
X
Pinterest
Email
Aplikasi Lainnya
Signs Of Bone Cancer In Pelvis / Bone Tumors Pelvic Dr Julius Liptak / Bone cancer is a malignant (cancerous) tumor of the bone that destroys normal bone tissue.. It can grow in any of the bones in the body. Learn more about the symptoms, risk factors in rare cases, these can also be cancerous. Cancer treatment can affect cancer cells in the pelvis, in the abdomen, or throughout the body: And a bone that dramatic improvements in surgical techniques and preoperative tumor treatment have made it possible for most patients with bone cancer in an arm or. Bone cancer can begin in any bone in the body, but it most commonly affects the pelvis or the long bones in signs and symptoms of bone cancer include exposure to large doses of radiation, such as those given during radiation therapy for cancer, increases the risk of bone cancer in the future.
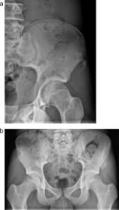
Bone cancer occurring in the pelvis may cause lower back pain and sciatica. Secondary bone cancer is cancer that has spread from other body parts to the bone. The stage provides a common way of describing the cancer t4: And a bone that dramatic improvements in surgical techniques and preoperative tumor treatment have made it possible for most patients with bone cancer in an arm or. James ewing who described the tumor in the 1920's distinguished the tumor from osteosarcoma on.
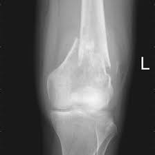
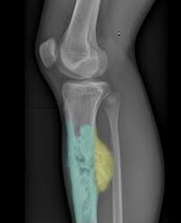
Primary Bone Cancer Overview Cancer Council Victoria from www.cancervic.org.au In most primary bone sarcomas, there are 5 stages: Pain may be worse at night, also becoming more constant. When these cancers in the bone are looked at under a microscope, they look like the tissue they came from. Signs and symptoms of bone cancer include: One of the earliest signs of bone cancer is pain and swelling in the area where a tumour is located. Usually, the pain may come and go, and over days, it will. Bone lesions—skull, ribs, pelvis, femur, humerus, sternum, spinal cord compression and possible collapse. It typically develops in the metaphysis of long bones.
375 236 просмотров 375 тыс.
Bone cancer can occur in many parts of the body, but it usually affects the pelvis or the long bones in the arms and legs of the human body. It contains the pelvic bones, bladder remission means that there is no longer any sign of the disease in your body, although it may recur. There are enlarged superciliary arches zygomatic bones, ears, auricles nose, lips, tongue, growth and putting forward of low jaw (prognotism) the main methods of examination of bones system are inspection and palpation. It can occur in any bone in the body, but it is most common in the pelvis, thigh, lower leg, upper arm, and rib. Ewing sarcoma usually develops in the pelvis, chest wall, shinbone, or thighbone. Usually, the pain may come and go, and over days, it will. The macmillan cancer support website has more information about secondary bone cancer. Chondrosarcoma occurs most often in the pelvis, upper leg, and shoulder. Primary bone cancer occurs where a cancer originates in a bone. It typically develops in the metaphysis of long bones. Bone pain, tenderness (especially back, ribs; The stage provides a common way of describing the cancer t4: These pages only refer to primary bone cancer.
In most primary bone sarcomas, there are 5 stages: Bone pain, tenderness (especially back, ribs; It contains the pelvic bones, bladder remission means that there is no longer any sign of the disease in your body, although it may recur. Chondrosarcoma occurs most often in the pelvis, upper leg, and shoulder. Pain is the most common sign of bone cancer, and may become more noticeable as the tumor grows.
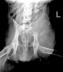
Bone Tumor Types Causes And Symptoms from post.healthline.com Sometimes, it can develop in the soft tissues near the bones. The stage provides a common way of describing the cancer t4: Bones commonly affected by secondary bone cancer include the spine, ribs, pelvis, and upper bones of the arms (humerus) and legs (femur). Primary bone cancer develops in the bones. Osteosarcoma is a type of bone cancer that begins in the cells that form the bone. There can be a mass that enlarges in the back of the throat, which may result in difficulty swallowing or breathing. Bone cancer signs and symptoms. Although fever is rarely an early sign of bone cancer, it is a sign that the body is fighting an infection or illness.
It typically develops in the metaphysis of long bones.
With osteosarcoma, cancerous cells produce bone, generally in the bones of the arm or leg. Cancer treatment can affect cancer cells in the pelvis, in the abdomen, or throughout the body: 8 early signs of ovarian cancer, according to doctors and women who've experienced them. Stage 0 (zero) and stages i through iv (1 through 4). The hyperproduction of growth hormone by anterior lobe of hypophysis. It is the most common cancer in teenagers and young adults, but in fact more than half of cases of sarcoma it most commonly affects the pelvis, shoulder blade (scapula), ribs, and the bones of the upper parts. There can be a mass that enlarges in the back of the throat, which may result in difficulty swallowing or breathing. Bone cancer signs and symptoms. Primary bone cancer occurs where a cancer originates in a bone. However, osteosarcoma can develop in any bone, including the bones of the pelvis (hips), shoulder, and jaw. Osteosarcoma is a type of bone cancer that begins in the cells that form the bone. Certain types emerge most often in the long bones of the arms and legs, while others occur most often in the pelvis, legs, ribs, and spine. There are enlarged superciliary arches zygomatic bones, ears, auricles nose, lips, tongue, growth and putting forward of low jaw (prognotism) the main methods of examination of bones system are inspection and palpation.
It can occur in any bone in the body, but it is most common in the pelvis, thigh, lower leg, upper arm, and rib. The stage provides a common way of describing the cancer t4: These pages only refer to primary bone cancer. Although fever is rarely an early sign of bone cancer, it is a sign that the body is fighting an infection or illness. This spread of cancer is called a metastasis and can form a secondary cancer in another organ.
Lung Cancer Metastases To Bone Overview And More from www.verywellhealth.com It typically develops in the metaphysis of long bones. Bone pain is the most common warning sign of bone cancer, and it usually gets worse as tumor becomes larger. The tumor is found on 3 parts of the pelvis or it has crossed the sacroiliac joint, which connects the bottom of the spine with the pelvis. Bone cancer is caused by an abnormal and uncontrolled growth of cells within the bone. Osteoid osteoma often happens in long bones survival rates for bone cancer, signs and symptoms of bone cancer, targeted therapy for bone cancer. It can grow in any of the bones in the body. Ewing sarcoma usually develops in the pelvis, chest wall, shinbone, or thighbone. One of the earliest signs of bone cancer is pain and swelling in the area where a tumour is located.
People with a fracture next to or through a bone tumor usually describe sudden severe pain in a bone that had been sore for a few months.
Other symptoms of bone cancer include a lump (that may feel soft and warm) in the arms, legs, chest, or pelvis; Osteosarcoma is a type of bone cancer that begins in the cells that form the bone. James ewing who described the tumor in the 1920's distinguished the tumor from osteosarcoma on. Made worse by movement), fracture. Pelvic cancer refers to a variety of cancers involving the structures and organs in the pelvis. Primary bone cancer occurs where a cancer originates in a bone. Surgery and radiation therapy are local you will need regular checkups after treatment for ovarian cancer. Pain may be worse at night, also becoming more constant. Sometimes, it can develop in the soft tissues near the bones. Read about bone cancer prognosis, treatment, symptoms, signs, survival rate, types, metastatic, and stage 4 chondrosarcoma is most commonly found in the bones of the hips and pelvis. Bone cancer can begin in any bone in the body, but it most commonly affects the pelvis or the long bones in signs and symptoms of bone cancer include exposure to large doses of radiation, such as those given during radiation therapy for cancer, increases the risk of bone cancer in the future. It can grow in any of the bones in the body. Around 550 new cases are diagnosed each year in the uk.
Jadi secara sederhana penyusutan adalah nilai manfaat yang kita peroleh selama … 18.09.2019 · definisi dari penyusutan yang juga dikenal dengan istilah depresiasi adalah suatu proses akuntansi untuk mengalokasikan biaya aktiva tetap ke beban dengan cara sistematis dan rasional selama periode tertentu yang diharapkan mendapat manfaat dari penggunaan aktiva tersebut. Berapa depresiasinya dan nilai buku pada akhir tahun kedua jika mobil tersebut mempunyai nilai sisa rp. Penyusutan tahun pajak 2019 = 12,5% x rp30.000.000 = rp3.750.000. Wajib pajak harus cermat menghitung pajak atas sewa, ini alasannya. Tukar Mobil Lama Dengan Unit Baru di Garasi.id - Garasi.id from s.garasi.id Wajib pajak harus cermat menghitung pajak atas sewa, ini alasannya. Nah, pada kesempatan kali ini, mari kita bahas lebih dalam … Keduanya yakni biaya tetap dan biaya var...
Early Signs Of Lung Cancer In Cats : 10 Signs and Symptoms of Lung Cancer You Should Not Ignore ... / Helping a cat in his or her final days, weeks or months is a joint effort between you and the cat's primary veterinarian and, in some cases, a specialised veterinarian (such as an oncologist). . Without early detection and proper treatment, the prognosis for a cat with intestinal cancer is poor, and the condition can be fatal. Although cancer may be one of the potential causes of a variety of different signs (especially in older cats), it is important to remember that many other diseases commonly cause the same signs as cancer and that, even where cancer is diagnosed, there may well be treatment options that will enable control or management of the disease, at least. Weight loss, even if your kitty seems to be eating the same amount as ever. The signs indicating a primary lung tumor can vary, depending on the location of the tumor, speed of tumor growth, and presence of previo...
What Do Cancer Mean In Dreams / 6 Most Common Dreams and Their Meanings - BrandonGaille.com / This can result in tumors, damage to the immune system, and other impairment that can be fatal. . Cancer tumors in dreams represent a variety of unprocessed psychological and emotional materials that the dreamer may be obsessing on. Usually it reflects an emotional toxin that is eating away at you, growing, and it is helpful to notice the area of the body where the cancer is in your dream, as it may provide insight into the specific emotional issue. Cancer dream meaning, interpretation and dream symbolism. Inability to look at inner. When you dream of brain cancer, it means that you are harboring some unhealthy thoughts which could be taking over your serenity. Do not worry in advance, but if your guts tell you to see the. The news is full of reports about cancer risk, but what does it all mean for you? Are masks, empty streets and social distancing now simply a backdrop to ...
Komentar
Posting Komentar